
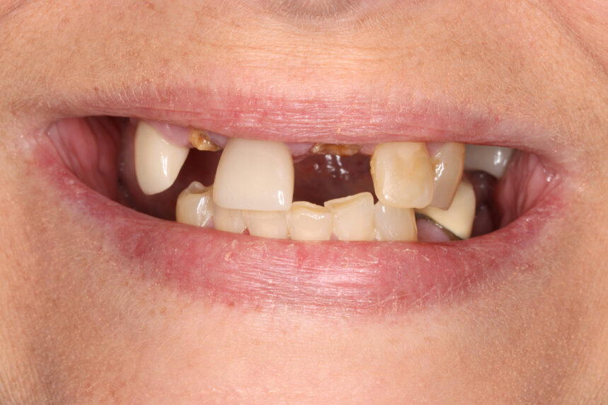
Whether you’re missing a single tooth or multiple teeth, we offer a personalized and permanent solution for a natural-looking, lifelong smile. Dental implants offer the highest long-term success rate of all tooth replacement options.
Top 6% Dentist in the US for earning his fellowship in AGD
Whether you’re missing a single tooth or multiple teeth, we offer a personalized and permanent solution for a natural-looking, lifelong smile. Dental implants offer the highest long-term success rate of all tooth replacement options.

Imagine achieving precise, predictable dental implant results in less time than ever before. Dr. Stryker explains how cutting-edge technology like 3D imaging transforms the process—from single implants to full teeth-in-a-day solutions. At Lincoln Crossing Dental Care, everything is done under one roof, offering faster surgeries, outstanding results, and exceptional convenience.

Before you invest, get the inside scoop from Dr. Stryker. Discover the best treatment options and learn about the long-lasting benefits of Dental Implants.

The most common material used for a dental implant is titanium or a titanium alloy. Ceramic may also be used in patients wishing to have a non-metallic option.
There are many benefits to having an implant placed. A missing tooth can be replaced without cutting down the adjacent healthy teeth as is required when placing a bridge. Implants allow the dentist to replace missing teeth even when a bridge is not an option. Dental implants can provide a more stable base for a denture, particularly in the lower jaw. Also, dental implants help to preserve and maintain healthy jawbone in the area of the missing tooth or teeth. With proper home care and maintenance, dental implants can restore your smile and chewing ability for a lifetime.
There is always a small chance that the dental implant will fail to integrate with the jawbone and have to be removed. Certain medical conditions can put you at a higher risk for implant failure. As with any surgery, there is a potential risk of surgical complications when placing a dental implant. Improperly positioned dental implants can make it difficult–if not impossible–to place a useful dental restoration in the mouth. Implant supported restorations do not have the same feeling as a normal tooth and it is possible to put too much pressure on them when chewing, leading to damage of the implant restoration or opposing tooth.
Bridges, dentures or partial dentures can replace missing teeth without requiring implants. The missing tooth or teeth can also be left without replacement. This, however, can lead to other problems such as an unstable bite or unwanted movement of the surrounding teeth.
If you have a misaligned bite, the restorations placed on the dental implants will be at greater risk for fracture or failure. Proper alignment of the teeth prior to dental implant placement leads to
You should be careful not to disturb the surgical site immediately after dental implant placement. This means no chewing on the side of the implant and careful cleaning methods for several weeks to a month. The dental implant takes several months to totally fuse to the jaw, so fewer disturbances to the area means a higher success rate. If you have a temporary denture to replace your missing dentition, it is important that the denture does not rub on the surgical site.

Traditional implants take months to complete and heal. But an immediate implant is exactly what you might think… immediate! That means no waiting months after your tooth has been extracted to get your replacement. An immediate implant is more aesthetically pleasing, more functional, and much faster. Watch and let Dr. Chirs Stryker — expert implant dentist at Lincoln Crossings Dental Care in North Huntingdon, PA — explain it all. Then, schedule your implant consultation with him today!

When Rox came to see Dr. Stryker, she was in severe discomfort. Her teeth had shifted and she was having a hard time eating the foods that she wanted to because chewing was difficult and painful. Rox had missing teeth and loose teeth, so she didn't want to smile anymore.
Rox said Dr. Stryker was the first dentist she had ever been to that took the time to explain what he could do to help her and assured her she would have minimal discomfort during her treatment. Dr. Stryker removed Rox's remaining teeth, placed implants in her top and bottom jaws and made her implant-supported, non-removable teeth.
Not only can Rox comfortably eat whatever foods she wants to now, but she also loves to smile. She does it all the time! Rox is thrilled that she found Dr. Stryker and that he was able to help her have the smile she dreamed of.
"I love my smile. I do it all the time. My struggles were very real — chewing food became a major issue. Not only was it hard to do, it was extremely painful. Dr. Stryker is the one dentist I finally found in my lifetime that honestly sat me down and told me what he was going to do, and told me there wasn’t going to be any pain."
When April came to see us for her initial examination, she had broken top teeth and missing lower teeth. April had an active lifestyle, she was frustrated with her teeth constantly breaking and having to be fixed, she wanted a plan that would give her a beautiful smile and let her eat the foods she loved.
After a thorough examination and discussing different treatment options, April and Dr. Stryker decided on a plan to remove and replace her top and bottom teeth with non-removable implant-supported teeth, this plan would address all her dental concerns and let her get back to her busy lifestyle.
April said her treatment was "Worth the wait", she is thrilled with her final teeth and happy to share her smile with her friends and enjoy dinners out with her husband. We are so happy we were able to help April achieve her dental goals!
When Mark initially came to Lincoln Crossings Dental Care, he told us he was ashamed of his teeth, he was missing several top and bottom teeth. Mark said he was a very social person but due to the condition of his teeth, he wasn’t smiling anymore and didn’t even want to be in family pictures.
Mark decided on a personalized plan with Dr. Stryker to remove his top teeth and replace them with implant-supported, snap-on teeth, and to replace some lower missing teeth with single implants. Even though Mark had some dental anxiety he told us the procedures were “so much better than he thought they would be” and thought the process went smoothly.
Mark is “over the moon”, his new teeth give him the confidence to be social again and smile in family pictures. Mark’s only regret is that he didn’t do it sooner.
Need a front tooth removed and replaced with an implant? We guide you through the steps of making an Essix retainer—a clear, removable solution with a temporary tooth to wear until your implant is ready. From impressions to model creation, see how we ensure your retainer is a perfect fit. Experience the personalized care at Lincoln Crossings Dental Care in North Huntingdon, PA.
Meet Tim, a man of few words but with a big, new smile. He may not have a lot to say, but what he does say is important. Tim recently completed a smile makeover with Dr. Stryker at Lincoln Crossings Dental Care in Huntingdon, PA. How do you think he feels now that he can smile with confidence and eat whatever he wants? We’ll let him tell you…
It has been a wonderful experience. I am going to eat so much better and look so much better. I do not have to worry about how my teeth look and how I have to eat my food. He is a wonderful doctor and very gentle and detailed.
Call today or complete the appointment request form. We’ll be in touch soon.