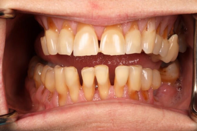
Even patients who are extremely diligent with their oral healthcare can experience tooth decay and other dental issues.

Restorative Dentistry
Even patients who are extremely diligent with their oral healthcare can experience tooth decay and other dental issues.

What is Restorative Dental Care?
Tooth decay degrades a tooth’s structure and integrity by eating away the healthy enamel and dentin. Severe decay can reach all the way down to the tooth root, causing serious pain and infection. Restorative dental care works to eliminate the decayed, infected tissues and build your teeth back to their original structure and strength. The goal of restorative dentistry is to save your natural teeth whenever possible.
Types of Restorative Treatments


Benefits of Restorative Dentistry
It is always in your best interest to keep your teeth, not just because you want to keep your smile as natural as possible, but also because losing a tooth or several teeth can have further repercussions on your oral health. Additionally, it is more time and cost effective to restore a tooth than to replace one. Restorative dentistry helps keep your smile strong and healthy.
Patient Success Story: Tim
When Tim first came to see us he told us his wife had recently passed and he had been neglecting his dental health. Tim had a lot of old dental work and was having pain in both sides of his mouth. Tim wanted to be able to chew without pain and have a nice smile again.
Tim wanted to start dental his journey by addressing his top teeth. Dr. Stryker removed most of his top teeth and replaced them with an implant-retained bridge. After completing his top treatment, Tim was so pleased, he decided to have his lower teeth restored. Dr. Stryker was able to save his lower teeth and restore them with restorative/cosmetic crowns.
Tim is happy to be able to eat his favorite food (steak) again and smile with confidence. We are happy that we were able to improve the function of Tim’s teeth, the health of his mouth and give him a terrific new smile!
Dental Crowns
When a tooth is badly damaged, covering it with a crown will reinforce its structure, restoring strength and preventing the tooth from needing to be extracted. With a crown in place, a tooth that was compromised by severe decay, a large crack, breakage, or extraordinary wear will be restored to its full strength.
A dental crown is made of highly durable ceramic strong enough to withstand the wear and tear our teeth are subjected to every day. Each crown is custom made to feel perfectly natural and blend in seamlessly with the surrounding teeth. Once in place, a crown is virtually impossible to detect, even up close. Crowns are designed to last 10 years or longer with proper care and regular dental examinations.
If you have a tooth with a large filling, severe decay, breakage, or cracks, a dental crown may be the best way to save your smile.
Patient Success Story: Lauren
Lauren came to us with extreme dental anxiety. Years of chronic health problems had affected her dental health. Lauren had missing and loose teeth and was embarrassed of her smile, she wanted to be able to smile with confidence and “not hide from the world”
After obtaining the proper medical clearances Lauren had full mouth rebuild, including lower, nonremovable, implant-supported teeth and a combination of implants and crowns on her top teeth.
Lauren had an “out of this world experience”, she was pleased with the ease of the whole process and loves her beautiful teeth. We are thrilled we were able to help Lauren smile again with confidence!




